生物透射电子显微镜-云现场
98.5%
好评率
部分论文致谢
项目简介
云现场”实验是科学指南针推出的一款黑科技视频网络体验,用户只需要一部电脑或者移动设备,即可在任何时间、任何地点发起或参与测试过程,实现各种信息的实时共享与协作。测试过程实时直连测试仪器屏幕,与测试老师一对一沟通选区拍摄,所见即所得,媲美现场实验。
生物透射云现场分为制样和云现场拍摄两部分,两部分单独计费,制样包括超薄切片及负染色制样。
一、预约云现场注意事项:
1、抽真空时间含在测试总时长内,即从样品进仓开始计时,一般在5min左右
2、测试项目为形貌
3、云视频测试时长1h起约,不同样品拍摄速度不均一,平均下来,拍摄速度一般2个样/小时(仅供参考),需要拍摄高倍并且仔细找特殊形貌的样品一般拍摄速度更慢些,具体请根据实际拍摄要求准确预约时长;
4、最好不要超时,一般情况下,后面会安排其他客户测试,尽量预约足够时间,比如约了 2 小时,最多可测试时间是 2 小时,2 小时后会结束测试,请合理安排时间;如果后面时间 没有其它客户,可以适当延长,费用按实际最终测试总时长计算,多退少补;
5、如临时有事需取消预约,请提前 24 小时联系,可以免费取消,如未提前告知,造成机时损失,按预约时间半价收费;
6、在拍摄过程中遇到问题您有权随时叫停测试,最终测试费用会根据实际测试时长多退少补。
{{moduleItem.modulename}}
结果展示
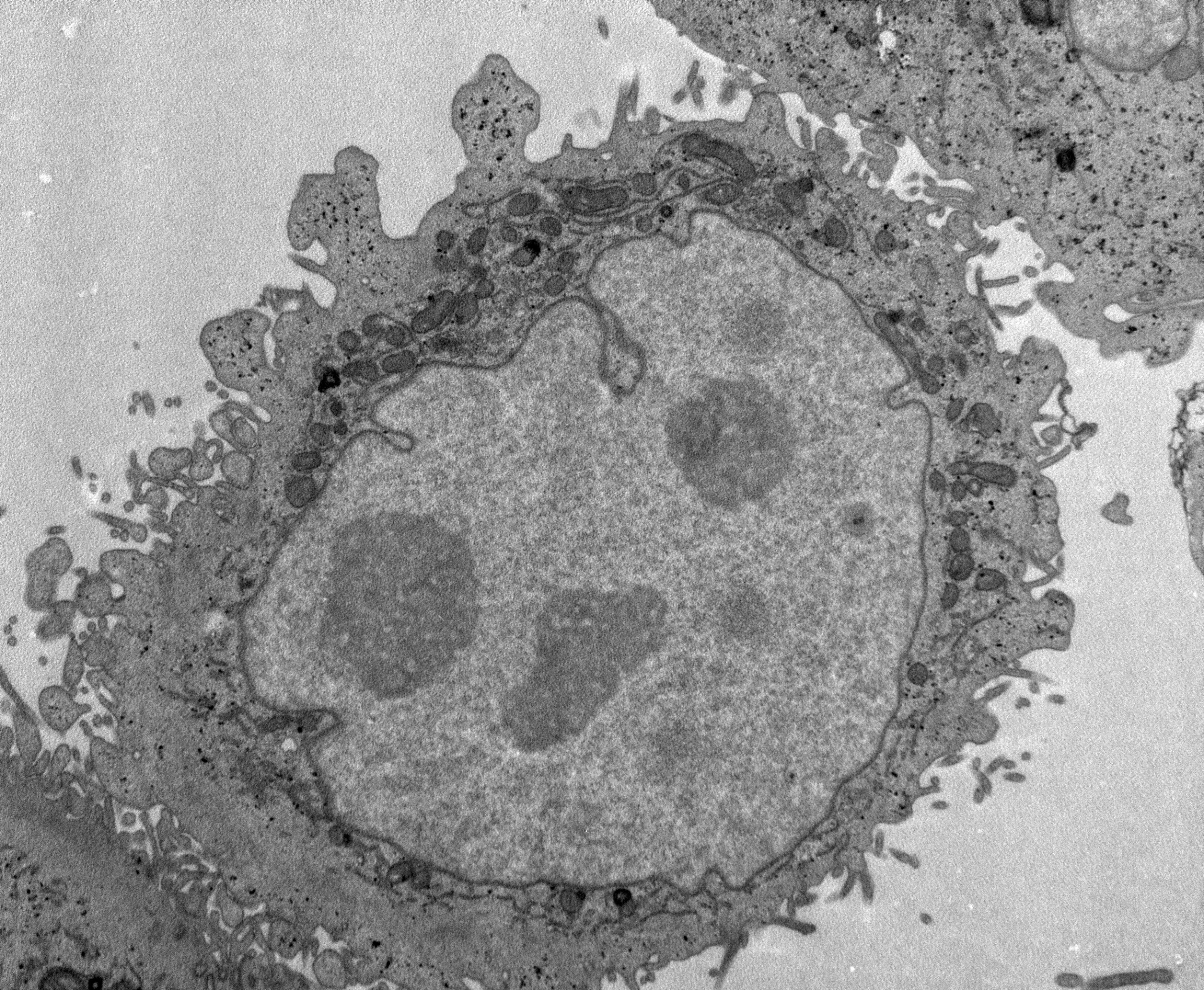
![]() |
|
| 图1. I和II是纳米材料进入细胞切片局部和放大图;III是材料附着细胞表面的细胞切片图 | |
|
|
|
| 图2.金黄色葡萄球菌在低于药物MIC作用后细胞壁发生溶解 | |
|
|
|
| 图3.小球藻细胞形态 | 图4.斑马鱼组织 |
样品要求
服务流程:

送样方式:
可接收固定好的细胞/组织样品并附有详细送检要求的送样单。
①需要您提供的样品:收集细胞/组织取样(新鲜迅速取材),置于1.5ml离心管内,加入2.5%的戊二醛溶液(固定液加满离心管,使样品完全浸没在固定液中),可放置于4°C保存,请不要倒弃固定液,一般固定12h后可寄送(务必采用1.5ml离心管寄送)。
②打印填写完整的预约单、送样单和样品一起寄送。
具体取材及固定方法如下:
1.对于细胞类,106以上的细胞,用细胞刮刀刮下来(不要反复刮取,动作迅速一次性刮取下来),1500-3000转离心,5-10min,收集细胞于管底肉眼可见2-3粒大米状样品,如果细胞量很多,把细胞团块用细针尖挑成几个小团块,弃上清,沿管壁缓慢加入4℃预冷的固定液,然后放入4°C冰箱保存。
2.对于组织类,新鲜取材,取材位置准确,组织大小尽量在1-2mm³,离体取材后请立即投入4℃预冷的固定液中,然后放入4°C冰箱固定保存(对于无法下沉的样品,一定要通过抽真空,让样品沉下去)。
3.对于细菌类,吸取OD0.5-0.8的培养物,离心后弃培养基,收集菌体沉淀于管底黄豆大小,可以用PBS洗1-2次,弃掉上清液,沿管壁缓慢加入4℃预冷的固定液,然后放入4°C冰箱保存(固体培养的标本取样时尽可能把培养基削薄一点,块切小)。
其他类型样品前处理可与指南针工作人员沟通!

*固定液的量请参考上图,加至箭头所示位置
下列操作由我们完成:
倒掉固定液,用0.1M,pH7.0的磷酸缓冲液漂洗样品三次,每次15min;用1%的锇酸溶液固定样品1-2h;小心取出锇酸废液,用0.1M,pH7.0的磷酸缓冲液漂洗样品三次,每次15min;用梯度浓度(包括30%,50%,70%,80%,90%和95%五种浓度)的乙醇溶液对样品进行脱水处理,每种浓度处理15min,再用100%的乙醇处理20min;最后过度到纯丙酮处理20min。用包埋剂与丙酮的混合液(V/V=1/1)处理样品1h;用包埋剂与丙酮的混合液(V/V=3/1)处理样品3h;纯包埋剂处理样品过夜;将经过渗透处理的样品包埋起来,70℃加热过夜,即得到包埋好的样品。样品在超薄切片机中切片,获得70-90nm的切片,切片经柠檬酸铅溶液和醋酸双氧铀50%乙醇饱和溶液各染色5-10min,晾干后即可在透射电镜中观察。
服务周期:
一般为样品接收后的3周左右,如遇法定假期需要顺延,具体实验周期及送样时间请与科学指南针工作人员沟通确认,谢谢!
交付内容:
每样提供10张拍摄图片(不提供分析服务),如需照片数量超过10张,按照40元/张收费。
结果反馈请在测试完成一周内,不建议回收样品,如有需要请提前反馈给指南针工作人员。
常见问题
1. 2.5%戊二醛固定液如何配置?
市售25%戊二醛水溶液 10ml
0.2M磷酸盐缓冲液(pH7.0) 50ml
蒸馏水加至 100ml
2. 0.2M,pH7.0磷酸缓冲液的配置方法?
A液:Na2HPO4·H2O 31.61g,或者Na2HPO4·7H2O 53.63g,或者Na2HPO4·12H2O 71.64g,加蒸馏水至1000ml
B液:NaH2PO4·H2O 27.6g,或者NaH2PO4·2H2O 31.21g,加蒸馏水至1000ml
0.2M,pH7.0磷酸缓冲液= A液61ml+B液39ml(合起来是100ml)





您已经拒绝加入团体






