【摘要】 动物活体成像技术是指应用影像学方法,在不损伤动物的前提下,对活体状态下的生物过程进行组织、细胞和分子水平的定性和定量研究的技术。
前言
小动物活体成像技术是指应用影像学方法,在不损伤动物的前提下,对活体状态下的生物过程进行组织、细胞和分子水平的定性和定量研究的技术。
随着小动物成像技术的发展,活体小动物非侵袭性成像在临床前研究中发挥着越来越重要的作用,各种专业的小动物成像设备应运而生,为科学研究提供了有力的工具。
小动物活体成像技术主要分为五类:
可见光成像 (Optical)、
核素成像 (PET/SPECT)、
计算机断层摄影成像 (CT)、
核磁共振成像 (MRI)、
超声成像(Ultrasound)。
小动物活体成像设备特点、应用及优缺点
1.可见光成像设备
体内可见光成像包括生物发光和荧光两种技术。前者是动物的自发荧光,后者需要外部激发光源的激发。
1.1生物发光设备:生物发光是用荧光素酶基因标记DNA,并通过其产生的蛋白酶与相应底物的生化反应在生物体内产生光信号。荧光素酶标记后的发光只能在活细胞中产生,发光强度与标记细胞数呈线性关系。
1.2荧光设备:荧光技术采用新型纳米标记材料如GFP、RFP或荧光染料(包括荧光量子点)进行标记,报告基因产生的生物发光、荧光蛋白或染料可在体内形成生物光源。
可见光成像的优点及应用:低能量、无辐射、对信号检测灵敏度高、实时监测标记的生物体内细胞活动和基因行为被广泛应用于监控转基因的表达、基因治疗、感染的进展、肿瘤的生长和转移、器官移植、毒理学、病毒感染和药学研究中。
可见光成像的主要缺点:二维平面成像、不能绝对定量。
发展前景:目前仅仅停留在仿体和小动物实验阶段,尚未进入临床应用,在许多方面还需要进一步改进和完善。寻找新的高量子效率的荧光团改进重建算法,拓展新的光学成像技术,提高图像分辨率是未来的重要任务。
2.核素成像设备
PET、SPECT是核医学的两种显像技术,相同之处是都利用放射性核素的示踪原理进行显像,皆属于功能显像。临床专用的PET、SPECT由于分辨率较低,无法满足小动物显像研究的要求。小动物专用的PET、SPECT因应而生,具有显著的高分辨率特性。
除了一般的分子成像技术都具有的无创伤、同一批动物持续观察的优点外。小动物PET、SPECT与其他分子显像方法相比还具有以下显著优势:
(1) 具有标记的广泛性,有关生命活动的小分子、小分子药物、基因、配体、抗体等都可以被标记;
(2) 绝对定量;
(3) 对于浅部组织和深部组织都具有很高的灵敏度;
(4) 可获得断层及三维信息,实现较精确的定位;
(5) 可以动态地获得秒数量级的动力学资料,能够对生理和药理过程进行快速显像;
(6) 相关应用研究可推广到人体。
2.1 小动物PET设备
进行小动物PET显像,首先是利用医用回旋加速器发生的核反应,生产正电子放射性核素,通过有机合成、无机反应或生化合成制备各种小动物PET正电子显像剂或示踪物质。显像剂引入体内定位于靶器官,利用PET显像仪采集信息显示不同断面图并给出定量生理参数。

用于新型显影剂开发的小鼠PET动态成像
小动物PET的主要优势:
(1) 具备优异的特异性、敏感性和能定量示踪标记物;
(2) 所使用的放射性核素多为动物生理活动需要的元素,因此不影响它的生物学功能,放射性标记物进入动物体内后,由于其本身的特点,能够聚集在特定的组织器官或参与组织细胞的代谢;
(3) 半衰期超短,一般在十几分钟到几小时,适合于快速动态研究,如11C、15O、3N ,半衰期在20min以内。
挑战:空间分辨率和系统绝对灵敏度是影响PET图像质量的重要指标,但分辨率和灵敏度却又是一对矛盾体,需要系统综合的设计考虑。
发展前景:基于其巨大的应用潜能,必将成为药物的寻找和开发、以动物模型模拟人类疾病揭示疾病的生化过程、研究活体动物基因表达显像以及其他生物医学领域的重要方法。
2.2 小动物SPECT设备
相对于小动物PET系统,小动物SPECT系统使用长半衰期的放射性同位素,不需要回旋加速器。常使用的放射性核素不是生理性元素,如:99mTc、111In、123I和67Ga等,这些放射性核素的半衰期从6h到3天,通常较PET使用的放射性核素半衰期长。
不足:单光子SPECT的灵敏度、分辨率、图像质量及定量准确性较PET差。
发展前景:随着技术的发展特别是新探测器的发展,可望将小动物SPECT敏感度提高到小动物PET水平。随着放射线示踪剂种类增加及不依赖回旋加速器,小动物SPECT有很大的应用前景,可用于监视生理功能、示踪代谢过程和定量受体密度等。
3.小动物CT设备
CT属于解剖学成像。目前的小动物CT(微型CT)系统大多数采用高分辨大矩阵平板探测器和微焦点X射线机的CBCT三维重建技术,能够在短时间内实现小型啮齿动物(小鼠或大鼠)活体状态下的结构成像。同时,部分小动物CT系统采用了小焦点X光机(决定CT分辨率水平的关键部件,焦点越小,物理角度能达到的分辨率越高),也能进行离体动物组织、生物材料等样品的无损三维检测,这种系统称为离活一体的微型CT。
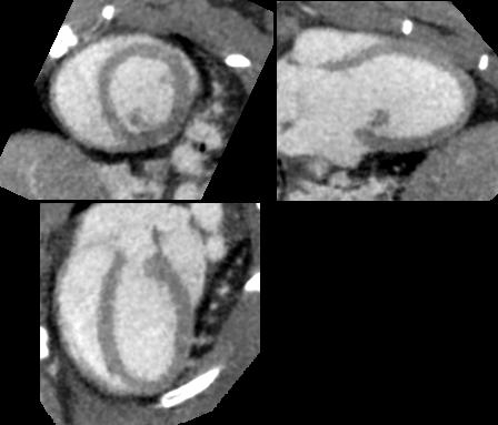
.gif)
大鼠心脏CT动态成像
优势:小动物CT设备在小动物骨和肺部组织检查等方面具有独特的优势。对于骨的研究(离体实验),如果在小梁水平上分析,一般要求空间分辨率较高,通常在15μm以内;活体小动物的肺部组织检查时(活体实验),空间分辨率在50~200μm即可,呼吸门控技术的加入也有助于图像伪影的消除。
不足:血管、内脏等软组织成像需要借助造影剂增强对比观察。
应用:小动物CT的应用领域主要有骨研究(如骨小梁)、肺部组织、生物材料(如仿生材料生物支架的孔隙率、强度等)、疾病机制研究(如疾病状态对骨骼发育、修复的影响)、新药开发(如骨质疏松症及疗效评价)等,主要是对活体小动物的硬组织和相关软组织的扫描成像分析,集中于骨领域研究。目前还有一些新型的造影剂也逐步应用于小动物CT的研究。相对于临床上的传统碘剂造影剂,这些新型造影剂的特点是时程长、与周围组织的对比明显,通常用于活体小动物的血管造影和连续观察。
4.小动物MRI设备
MRI是依据所释放的能量在物质内部不同结构环境中不同的衰减,而绘制出物体内部的结构图像。
优势:相对于CT,MRI具有无电离辐射性(放射线)损害,高度的软组织分辨能力,无需使用对比剂即可显示血管结构等独特优点。对于核素和可见光成像,小动物MRI的优势是具有微米级的高分辨率及低毒性;在某些应用中,MRI能同时获得生理、分子和解剖学的信息,这些正是核医学、光学成像的弱点。对于小动物研究,小动物MRI是一个功能强大、多用途的成像系统。
不足:MRI的敏感性较低(微克分子水平),与核医学成像技术的纳克分子水平相比,低几个数量级。所以小动物MRI设备不是最理想的成像系统。但随着多模式平台的发展,如小动物MRI/PET,可以从一个仪器中得到更全面的信息。
5.小动物超声设备
超声基于声波在软组织传播而成像,由于无辐射、操作简单、图像直观、价格便宜等优势在临床上广泛应用。在小动物研究中,由于所达到组织深度的限制和成像的质量容易受到骨或软组织中的空气的影响而产生假象。所以超声不像其他动物成像技术那样应用广泛,应用主要集中在生理结构易受外界影响的膀胱和血管。
6. 多模态设备
传统的形态学成像技术,如CT、MRI和超声,具有较高的空间分辨率,但其共同缺点是,直到组织结构的改变,才能检测到疾病,即对疾病的敏感性较低,且疾病通常处于中晚期;功能成像技术,如可见光成像和核素成像,可以通过分子和细胞的变化来检测疾病。例如,肿瘤在引起组织结构改变之前可以通过核素显像进行检测,但功能成像技术的空间分辨率较低,结构信息不足。由于每种成像技术都有其独特的优势和局限性,结合多种技术的多模式成像平台应运而生,如小动物PET/CT、小动物SPECT/CT和小动物PET/MR。这些多模态成像平台促进了图像重建和数据可视化,将PET成像与CT、MRI等高分辨率、非侵入性解剖成像相结合,从而在研究中获得生物功能信息和解剖结构信息。
多模态系统中,目前应用最广泛的设备,如PET/CT小动物:PET-CT与同一台机器的集成具有相同的定位坐标系。PET-CT可以在动物扫描时不改变位置,在同一台机器上采集,避免了动物移位造成的误差。在PET图像重建过程中,除了解剖定位外,CT还可以提供快速的低噪声衰减校正和部分容积校正方法,降低成像噪声,提高图像质量。小动物PET/CT扫描仪可以大大提高PET成像的准确性。多种技术相结合的多模式成像平台是动物活体成像的发展趋势。
小动物活体成像设备主要特点汇总

注:成像技术可以提供的数据有绝对定量和相对定量两种。如CT、MRI和PET提供的为绝对定量信息;可见光成像中的生物发光、荧光、多光子显微镜技术属于相对定量范畴,但可以通过严格设计实验来定量。其中可见光成像和核素成像特别适合研究分子、代谢和生理学事件,称为功能成像;超声成像和CT则适合于解剖学成像,称为结构成像,MRI介于两者之间。
免责声明:文章整合自网络,因内容庞杂无法联系到全部作者,如有侵权,请联系删除,我们会在第一时间予以答复,万分感谢。





您已经拒绝加入团体

