【摘要】 透射电镜(TEM)的分辨率最高为0.2nm。它是观察和研究超微结构的重要工具。在生物科学研究中,透射电子显微镜可用于观察整个细胞结构、细胞亚细胞结构,包括(植物)细胞壁、细胞膜、细胞核和各种细胞器的变化,以及外源物质(如病原微生物和各种纳米颗粒)与细胞之间的关系,如外源物质进入细胞内部的方式、在细胞内的分布情况、细胞对外界刺激的反应(包括自噬、凋亡、坏死等)。

生物透射电镜

 

透射电镜(TEM)的分辨率最高为0.2nm。它是观察和研究超微结构的重要工具。在生物科学研究中,透射电子显微镜可用于观察整个细胞结构、细胞亚细胞结构,包括(植物)细胞壁、细胞膜、细胞核和各种细胞器的变化,以及外源物质(如病原微生物和各种纳米颗粒)与细胞之间的关系,如外源物质进入细胞内部的方式、在细胞内的分布情况、细胞对外界刺激的反应(包括自噬、凋亡、坏死等)。

 

1. 病毒、细菌、蛋白、外泌体、脂质类样本的染色观察

 

当病毒、细菌、蛋白、外泌体、脂质类样本的研究目的在于观察颗粒的大小、外观形状时,可以用负染色这种简便的方法对样品进行染色,然后在透射电镜中观察。

 

操作步骤:纯化后的病毒以及其它颗粒、固体培养的细菌用去离子水配成悬液,滴在铜网上,经磷钨酸或醋酸双氧铀染色5-10s,在透射电镜(Hitachi H-7650)中观察。

 

此方法建议在就近的实验室完成,以保持样品的状态。

 

细菌负染结果,显示两种菌都是卵圆形,左图的菌有极生单鞭毛,右图的菌有极生多鞭毛。

 

左图为病毒,右图为外泌体的负染

 

2. 细胞组织类样本前处理(正染色)

 

经过离心收集的细胞或者切割取样的动植物组织,用2.5%的戊二醛溶液4℃固定过夜。

 

然后按下列步骤处理样品:倒掉固定液,用0.1M,pH7.0的磷酸缓冲液漂洗样品三次,每次15min;用1%的锇酸溶液固定样品1-2h;小心取出锇酸废液,用0.1M,pH7.0的磷酸缓冲液漂洗样品三次,每次15min;用梯度浓度(包括30%,50%,70%,80%,90%和95%五种浓度)的乙醇溶液对样品进行脱水处理,每种浓度处理15min,再用100%的乙醇处理20min;最后过度到纯丙酮处理20min。

 

用包埋剂与丙酮的混合液(V/V=1/1)处理样品1h;用包埋剂与丙酮的混合液(V/V=3/1)处理样品3h;纯包埋剂处理样品过夜;将经过渗透处理的样品包埋起来,70℃加热过夜,即得到包埋好的样品。样品在LEICA EM UC7型超薄切片机中切片,获得70-90nm的切片,切片经柠檬酸铅溶液和醋酸双氧铀50%乙醇饱和溶液各染色5-10min,即可在透射电镜(HitachiH-7650)中观察。

 

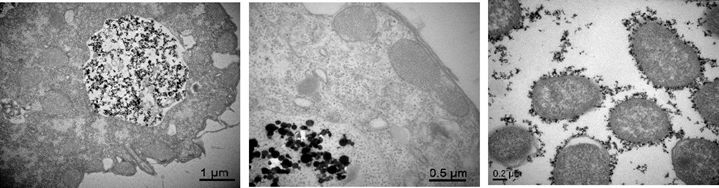
 从左至右,依次是纳米材料进入细胞局部、放大切片图和材料附着于细胞表面的切片图。

 

从左至右,依次展示肾小球、细胞吞噬外源纳米药物形成自噬小泡、植物根细胞。

 

左至右,依次展示拟南芥种子、肠道微绒毛、胶原纤维横截面

 

免责声明:部分文章整合自网络,因内容庞杂无法联系到全部作者,如有侵权,请联系删除,我们会在第一时间予以答复,万分感谢。