生物组织切片
98.2%
好评率
部分论文致谢
项目简介
切片是用特制刀具或切片机把生物体的组织或矿物切成的薄片,用来在显微镜下观察和研究,根据样品切片前的处理不同,切片可以分为:石蜡包埋切片,树脂包埋切片(常温/低温)和冰冻切片;其中石蜡切片是最基本的切片技术,冰冻切片和超薄切片是在石蜡切片基础上发展而来;同时结合组织化学技术,即以常用的化学染料对细胞内主要化学成分和活性成分进行染色,用于后续的研究和观察,其中苏木精伊红染色应用最为广泛;组织切片及组织化学技术广泛应用于生物学、解剖学、病理学、法医学、临床诊断学等。
1、HE染色实验原理
苏木精-伊红染色法( Hematoxylin-Eosin staining ),简称HE染色法 ,是病理学常规制片中最基本的染色方法。苏木精染液为碱性 ,主要使细胞核内的染色质与胞质内的核糖体着紫蓝色;伊红为酸性染料,主要使细胞质和细胞外基质中的成分着红色 。
2、Masson染色实验原理
Masson三色染色又称马松染色,是结缔组织染色中最经典的一种方法,是胶原纤维染色权威而经典的技术方法。所谓三色染色通常是指染胞核和能选择性的显示胶原纤维和肌纤维。该法染色原理与阴离子染料分子的大小和组织的渗透有关:分子的大小由分子量来体现,小分子量易穿透结构致密、渗透性低的组织,而大分子量则只能进入结构疏松的、渗透性高的组织。然而,淡绿或苯胺蓝的分子量很大,因此Masson染色后肌纤维呈红色,胶原纤维呈绿色或蓝色,主要用于区分胶原纤维和肌纤维。
3、油红O染色实验原理
油红O为脂溶性染料,在脂肪内能高度溶解,可特异性的使组织内甘油三酯等中性脂肪着色。
4、天狼猩红染色实验原理
天狼猩红是一种强酸性阴离子染料,每个分子含有6 个磺酸基,易与胶原蛋白的碱性氨基酸集团紧密结合,染色后不褪色且具特异,染料分子长形展开,在胶原长轴方向以平行排列的方式附着胶原分子,使胶原纤维呈现红色。
5、阿利新蓝-过碘酸雪夫氏染色(AB-PAS染色)实验原理
阿利新蓝是类铜钛花青染料,这种阳离子染料与酸性基团结合,也即阿利新蓝与组织内含有的阴离子基团如羧基和硫酸根形成不溶性复合物。分子中带正电荷的盐键与酸性黏蛋白多糖物质中带负电荷的酸性基团结合形成不溶性的复合物而呈蓝色。PAS技术可将中性黏蛋白染成深红/红紫色,同时将既含中性黏蛋白有含酸性黏蛋白的组织和细胞染成深浅不同的紫色,这是有于阿利新蓝与Schiff试剂结合并反应。
6、V.G染色实验原理
VG染色法是利用两种阴离子染料混合或先或后作用而完成鉴别染色的。胶原纤维呈红色(被丽春红所染)肌纤维呈黄色(被苦味-酸所染),这与阴离子染料分子的大小和组织的渗透性有关。组织的渗透性,取决于组织的结构密度,如细致观察,会发现组织和细胞成分都是多孔的构造。不同的组织和细胞成分,它们的空隙大小是不同的,空隙的大小,决定了组织的渗透性、如空隙小、组织结构致密、渗透性低、空隙宽、组织结构疏松、渗透性高。如已固定的组织用一系列阴离子水溶性染料先后或混合染色,则可发现红细胞被最小分子的阴离子染料着染。由此说明红细胞对阴离子染料的渗透性最小。肌纤维与胞质次之,而胶原纤维具有最大的渗透性。
7、茜素红染色实验原理
茜素红 S 属一种蒽醌类衍生物,是茜素磺酸钠盐,它能与碳酸钙或磷酸钙中的钙盐螯合形成橙红色复合物。茜素红 S往往对少量的沉积物染色可得到更可靠的结果。常与固绿或 Mayer 苏木素染色液合用,结合形成橘红色沉淀,适用于少量钙盐组织的染色。
8、革兰氏染色实验原理
革兰氏颜色染色是基于细菌细胞壁特殊化学组分进行染色的,主要是通过结晶紫初染和碘液媒染后,在细菌细胞壁内形了不溶于水的结晶紫与碘的复合物,随后再用95%的乙醇进行脱色即可,革兰氏阴性细菌因其壁薄、肽聚糖含量低和交联松散,故遇乙醇后,肽聚糖网孔不易收缩,加上它类脂含量高,所以当乙醇把类脂溶解后,在细胞壁上就会出现较大缝隙,复合物容易溶出细胞壁,因此通过乙醇脱色后,细胞又成无色。这时再用红色染料进行复染,革兰氏阴性细菌将获得一层新的颜色红色,而革兰氏阳性菌则仍呈紫色。
9、甲苯胺蓝染色实验原理
甲苯胺蓝(Toluidine Blue O)是一种常用的人工合成染料,属于醌亚胺染料类,是碱性染料,甲苯胺蓝中的阳离子有染色作用,组织细胞的酸性物质与其中的阳离子相结合而被染色,可染细胞核使之呈蓝色;肥大细胞胞质内含有肝素和组织胺等异色性物质遇到甲苯胺蓝可呈异染性紫红色,可用于尖锐湿疣的初筛及肥大细胞的检测。
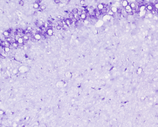
10、尼氏染色实验原理
尼氏染色法(Nissl Staining)是用碱性染料染神经组织的一种方法。尼氏体是胞质内的一种嗜碱性物质,广泛分布于各种神经元中,不同神经元中的尼氏体形状、大小和数量都各有差异。尼氏染色法可以染出尼氏体,用来观察神经元内的细胞结构,还可以通过对尼氏体的观察来了解神经元的损伤情况。用于尼氏染色的碱性染料主要有焦油紫、亚甲蓝、甲苯胺蓝和硫堇等。在此以甲苯胺蓝染料为例,对小鼠脑组织进行尼氏染色。
11、DAB-NBT染色实验原理
DAB 染色法也叫二氨基联苯胺法,用于检测细胞中过氧化物酶的活性部位。细胞颗粒中的过氧化物酶,能将过氧化氢中的氧释放出来氧化二氨基联苯胺形成金黄色沉淀而定位于过氧化物酶活性的部位。氮蓝四唑(NBT, nitroblue tetrazolium)能与超氧阴离子发生反应并形成蓝色的甲臜(formazan),基于此原理,NBT 溶液(0.1% pH 7.8)可用于植物组织(常用叶片)的超氧阴离子(O2-)检测。
12、TTC染色实验原理
TTC是脂溶性光敏感复合物,最初是用来检测种子生存能力,后来发现可以用于染色检测哺乳动物组织的缺血梗塞。TTC是呼吸链中吡啶核苷结合酶系统的质子受体,TTC与正常组织中的呼吸酶反应而呈现红色,但是在缺氧组织中,呼吸酶活性下降,不能反应,故不会产生红色,而呈苍白色;现在多用于尸检中新鲜脑组织及心脏组织和实验动物模型中早期梗死组织的染色。
13、TUNEL染色实验原理
TUNEL(TdT-mediated dUTP nick end labeling)细胞凋亡检测试剂盒是用来检测组织细胞在凋亡早期过程中细胞核DNA的断裂情况。其原理是荧光素(fluorescein)标记的dUTP在脱氧核糖核苷酸末端转移酶(TdT Enzyme)的作用下,可以连接到凋亡细胞中断裂DNA的3’-OH末端,并与连接辣根过氧化酶(HRP,horse-radish peroxidase)的荧光素抗体特异性结合或者与绿色荧光探针荧光素(FITC)结合,前者与HRP底物二氨基联苯胺(DAB)反应产生很强的颜色反应(呈深棕色);后者与FITC结合,特异准确地定位正在凋亡的细胞,因而可在光学显微镜下或者荧光显微镜下观察凋亡细胞;由于正常的或正在增殖的细胞几乎没有DNA断裂,因而没有3‘-OH形成,很少能够被染色。
14、免疫荧光实验原理及流程图
免疫荧光技术是根据抗原抗体反应的原理,将已知的抗原或者抗体标记上荧光素,制备成荧光抗体,再使用这种荧光抗体或者抗原作为探针检测组织或者细胞内相应的抗原或者抗体。在组织或者细胞内形成的抗原抗体复合物上含有带有荧光标记的荧光素,通过荧光显微镜或者激光共聚焦显微镜,选择对应荧光素的激发波长对抗原抗体定位拍摄。

15、免疫组化实验原理及流程图
免疫组化是基于免疫学基本原理——抗原抗体反应,即抗原与抗体特异性结合的原理,通过化学反应使标记抗体的显色剂(荧光素、酶、金属离子、同位素)显色来确定组织细胞内抗原(多肽和蛋白质),对其进行定位、定性及定量研究。免疫组化具有特异性强、敏感性高、定位准确、形态与功能相结合等多种优点。免疫组化可应用于确定细胞类型、发现微小转移灶、了解分化程度 、临床应用、肿瘤起源与分化 、指导治疗与预后等多个方面。根据抗原抗体反应和化学显色的原理,组织切片或细胞样本中的抗原先和一抗结合,再利用一抗与二抗反应,DAB进行显色,进而进行分析。

{{moduleItem.modulename}}
结果展示
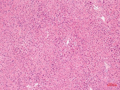
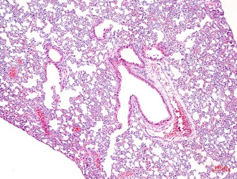
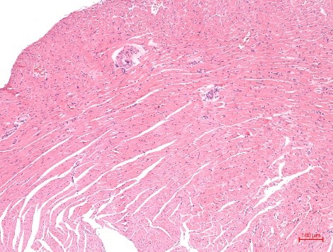
1、HE染色实验结果(小鼠肝脏-肺脏-心肌举例)


HE实验结果解读:细胞核呈现蓝色或者紫蓝色,细胞质和细胞外基质中的成分着红色。
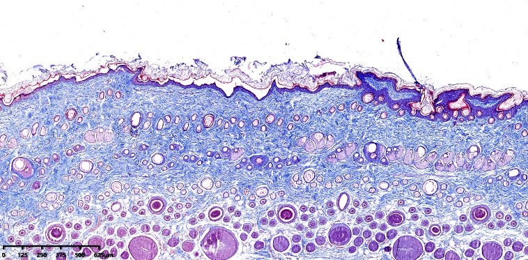
2、Masson染色实验结果(兔肌腱、大鼠股骨、大鼠皮肤、举例)


Masson染色实验解读:图片结果呈现胶原纤维蓝色,肌纤维红色,细胞核紫蓝色。
3、油红O染色实验结果(大鼠肝脏举例)

油红O染色实验结果解读:组织内着色为红色或者橘红色的部位为脂肪分布位置。
4、天狼猩红染色实验结果(大鼠肝脏举例)

天狼猩红实验结果解读:普通光学显微镜下,胶原纤维呈现红色或者橙红色;复染苏木精,细胞核呈现蓝色或者紫蓝色。偏振光显微镜下,Ⅰ型胶原成像橙黄色或者亮红色,Ⅲ型胶原呈现亮绿色。
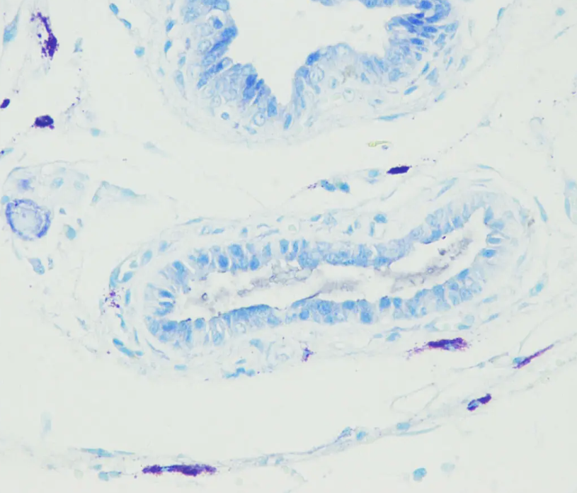
5、阿利新蓝-过碘酸雪夫氏染色(AB-PAS染色)实验结果(小鼠肠道举例)

AB-PAS实验结果解读:糖原、中性黏蛋白、各种糖蛋白呈现紫红色,酸性粘蛋白包括硫黏蛋白、唾液蛋白等着色为蓝色或者蓝紫色,蛋白多糖和通明质酸等也着色为蓝色。
6、V.G染色实验结果(举例:大鼠心肌网图)

V.G实验结果解读:胶原纤维呈现鲜红色,红细胞和肌纤维呈现黄色,细胞核呈现兰褐色。
7、茜素红染色实验结果(举例:胎鼠骨组织网图)

茜素红实验实验结果解读:钙沉积物呈现亮红色着色。
8、革兰氏染色实验结果(小鼠肌腱举例)

革兰氏实验结果解读:革兰氏阳性菌呈现红色或者粉红色,革兰氏阴性菌呈现紫色(组织切片的组织易于各种染液结合而呈现红色,故而革兰氏阳性菌无法辨别)。
9、甲苯胺蓝染色实验结果(举例:大鼠乳腺网图)

甲苯胺蓝实验结果解读:细胞核呈现蓝色,肥大细胞呈现紫红色。
10、尼氏染色实验结果(小鼠脑组织海马区焦油紫法举例)

尼氏染色实验结果解读:小鼠脑组织内的尼氏小体被焦油紫着色为深紫色或者紫蓝色,背景色接近无色或者淡紫色。
11、TTC染色实验结果(大鼠脑组织举例摘自:Picroside II Exerts a Neuroprotective Effect by Inhibiting mPTP Permeability and EndoG Release after Cerebral Ischemia/Reperfusion Injury in Rats.Journal of Molecular Neuroscience)

TTC实验结果解读:动物模型中脑组织梗死部分呈现苍白色。
12、TUNEL染色实验结果(小鼠肿瘤荧光法举例)

tunel染色实验结果解读:选择激光共聚焦显微镜观察细胞核经DAPI染色后呈现蓝色,凋亡细胞被FITC标记而呈现绿色。
13、免疫荧光实验结果(小鼠肿瘤CBS抗体举例)

免疫荧光实验结果解读:选择激光共聚焦显微镜观察细胞核经DAPI染色后呈现蓝色,目的蛋白被AF594荧光染料标记而呈现红色。
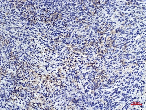
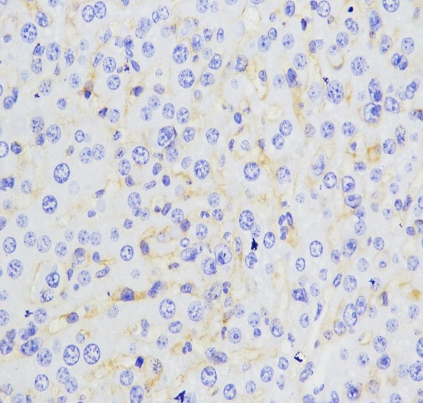
14、免疫组化实验结果(小鼠肿瘤CollagenⅠ举例)

免疫组化实验结果解读:细胞核呈现蓝色,DAB 染色阳性结果为棕黄色颗粒。
样品要求
一、石蜡切片
常规包埋块大小规格1cm*1cm、2cm*2cm;包埋块厚度一般为0.5-0.7 cm;石蜡切片的厚度范围3-20 μm。
1、动物组织-各类脏器
a.组织需要被固定液固定24小时以上;组织固定时间尽量不要超过一周,组织弹性增加,易碎;
b.寄送过程送样容器要能够完全容纳组织,组织不能蜷缩,固定液要完全淹没组织;
c.漂浮的组织可以使用抽真空或者棉球、滤纸将组织压在液体内。
d.脑组织需要客户自行进行灌流处理,灌流后固定送样,有需求观察特殊脑区,建议自行取材到特征位置;
c.动物肠道切片请处理好肠道内容物;
2.植物组织
a.参考动物送样1-3要求;
b.可以剪得稍微大一点1-2厘米的茎,叶片取1*1的大小,一个管子里可以多放两个(同一个植物),植物表面简单清水冲洗,无脏污泥土;
c.硬植物组织建议70%FAA,软植物组织建议50%FAA。
d.横纵切需求:叶片类纵切切为平行叶脉,横切为垂直叶脉;根茎类横切为圆柱状,纵切为长条状。
二、冰冻切片
冰冻包埋块大小为直径2.5厘米的圆形;包埋块厚度一般为0.5-1 cm;切片的厚度范围6-200 μm。
1、动物组织-常规染色
固定液固定寄送要求同石蜡切片;
2.动物组织-荧光拍摄
a.根据样本荧光淬灭程度,淬灭慢,固定液固定低温寄送;
b.荧光淬灭快,-80冻存后,干冰寄送(寄送过程请尽量保持样本形态)。
常见问题
1. 样本固定时间超过48小时了,还能做染色吗?
样本固定超过48小时,也是可以做常规染色的。固定时间较长,组织易脆、易碎,着色效果不如固定时间短的组织。
2. 样本提供多少?
常规大小鼠动物组织提供一部分或者完整脏器都是可以的,技术老师会根据实际情况对组织进行修块,包埋组织厚度约为1-2 mm,大小根据脏器面积确定取材。请参考上面样品要求。
3. 冰冻切片的样本怎么处理?
冰冻切片同石蜡切片,4%多聚甲醛固定送样即可。若组织内本身带有荧光切极易淬灭,建议4%多聚甲醛避光固定送样或者避光低温-20~-90℃寄送。低温寄送存在组织内冰晶融化破坏组织原有形态的风险。





您已经拒绝加入团体

